「オールオン4」は、歯がボロボロでも、総入れ歯でも、一気に取り外しの必要ない歯が入る治療です。どんな治療なのか、動画でわかりやすく解説しています。
- ●総入れ歯でお悩みの方
- ●歯がほとんどないorほとんどの歯がボロボロな方
- ●あごの骨がやせてしまっている方
- ●全部インプラントをするための費用が心配な方
- ●全部の歯を一気に治療してしまいたい方
大阪北浜の筒井歯科では
オールセラミックが
標準仕様です!
強度も美しさも兼ね備えたジルコニアのオールセラミックが料金に含まれます。一般的に100万円程度する加算料金は頂きません。
オールオン4(オールオンフォー)とは
特長1 最少4本のインプラントで
全ての歯を支える治療方法
これまでは、全ての歯を失って全部インプラント治療を行う場合、8~14本のインプラントの埋入を伴う、大掛かりで負担の大きいものしかありませんでした。
しかし、歯科医療技術の発展により最少4本のインプラント埋入で歯をしっかり補綴する治療法「オールオン4(All-on-4)」が開発され、治療の負担を必要最低限に抑えることができるようになりました。
「オールオン4(All-on-4)」では奥のインプラントを骨のある部分へ斜めに埋入して、インプラントにかかる力を広く均等に配分することにより、少ないインプラントでも全ての人工歯を支える事が可能です。
※歯を支えるあごの骨の状態によってはインプラントの本数が多くなることもありますので、主治医によくご相談下さい。

特長2 たった一日で取り外しの要らない歯に
全ての歯を支える治療方法
オールオン4は、抜歯からインプラントの仮歯の装着までを1日で行うことが可能です。
つまり、手術後には新しいインプラントで支えた仮歯で食事をとることができます。
※歯を支えるあごの骨の状態によっては当日に固定式の仮歯を入れられないこともございます。その場合は、事前にご相談の上、可能な限り歯が無い状態を避けるようにします。


オールオン4を埋め込んだ実際のお口の中
4本のインプラントを埋め込んだお口の中です。
4本のインプラントの上に、最終的なセラミックの被せ物を取り付けた状態です。見た目にも、噛み心地も本来の自分の歯に近いものを取り戻していただけます。
すべての歯を一気に変えるので、歯の形や色を患者様のお好みにしやすいというメリットがあります。
自然なレベルで白く美しい歯でも、芸能人のように真っ白な歯も、ご希望に合わせて治療できます。

- オールインプラント
- 総インプラント
- 全部インプラント
と呼ばれるようなすべての歯のインプラント治療では、通常では8本から14本のインプラントが必要です。
オールオン4では4本〜6本で済むので、治療期間も短く、また、費用と身体的な負担も減ります。
30代・40代で歯を多く失ってしまい、入れ歯に抵抗感がある方から、長年入れ歯で悩み続けた70代・80代の方まで幅広い年代の方に選ばれています。
「オールオン4」(オールオンフォー)のメリット・デメリットは?
オールオン4(オールオンフォー)のメリット
- 噛む力を取り戻すことができ、食べる喜びを取り戻せる
- 治療した当日に取り外し式ではない歯(仮歯)が入る
- 見た目を美しく、若々しくできる
- 自然で美しい歯にするか、芸能人のような白い歯にするか選べる
- あごの骨が痩せていくことを防ぐことができる
(入れ歯の場合、歯の無い部分の骨が少しずつ無くなっていく) - インプラントにしっかり固定されるので、ずれて痛いといったことが無い
- インプラントの本数が少なくて済むので、手術の負担が少なくなる

オールオン4のデメリット
- 技術と経験を持った歯科医師しか治療することができない
- 自分の天然の歯や、通常のインプラントと同じ様に、メンテナンスをしないと歯周病に似た状態になる
- 健康保険適応外の治療になるので、保険適応の入れ歯とくらべて高額になる

Movie
「オールオン4って
どんな治療?」
動画をご覧になった多くの患者様に、実際に治療を受けていただいています。
「自分はオールオンフォーにできる? 他の治療方法はある?」など、
大阪北浜にある筒井歯科へ、お気軽にご相談ください。
インプラント治療専門 フリーダイヤル
お電話でのご予約はこちら!
0120-703-221
オールオン4(オールオンフォー)と総入れ歯のちがい
| オールオン4 | 総入れ歯 | |
|---|---|---|
| メリット | ・ちゃんとかんで食べることができる ・食事をしたり話したりしやすい ・固定式なのでズレたり外れたりしない ・自分の歯と同様に違和感が少ない ・あごの骨がやせるのを防ぐ ・手術当日に仮の歯が入る ・えずかない |
・保険適応の入れ歯の場合、費用を抑えられる ・ほとんど人が適応 ・手術が不要 ・手軽である |
| デメリット | ・健康保険が適応されない (入れ歯と比べ費用がかかる) ・オールオン4の治療できる医院が少ない ・手術が必要 |
・ちゃんとかめない、噛む力が弱くなる場合が多い ・ズレたり外れたりする場合がある ・違和感を感じやすい ・味覚や食べ物の温度など感じにくい ・食事中に食べ物がはさまって痛むことがある ・発音しにくい ・あごの骨がやせやすい ・時間が経つと合わなくなり調整が必要 |
| オールオン4 |
|---|
| メリット |
| ・ちゃんとかんで食べることができる ・食事をしたり話したりしやすい ・固定式なのでズレたり外れたりしない ・自分の歯と同様に違和感が少ない ・あごの骨がやせるのを防ぐ ・手術当日に仮の歯が入る ・えずかない |
| 総入れ歯 |
|---|
| メリット |
| ・保険適応の入れ歯の場合は費用を抑えられる ・ほとんど人が適応 ・手術が不要 |
| オールオン4 |
|---|
| デメリット |
| ・健康保険が適応されない (保険適応の入れ歯と比べ値段がはる) ・オールオン4の治療できる医院が少ない ・自分の歯と同様に違和感が少ない ・手術が必要 |
| 総入れ歯 |
|---|
| デメリット |
| ・ちゃんと噛めない、噛む力が弱くなる場合が多い ・ズレたり外れたりする場合がある ・違和感を感じやすい ・味覚や食べ物の温度など感じにくい ・食事中に食べ物がはさまって痛むことがある ・発音しにくい ・あごの骨がやせやすい ・時間が経つと合わなくなり調整が必要 |
大阪北浜の筒井歯科のオールオン4(オールオンフォー)
総院長の筒井隆史が責任をもってオペを担当します。
オールオン4は、高度な技術が必要とされる治療で、安易に行われるべきではありません。
筒井歯科では、インプラント治療専門医教育を受けた総院長が責任をもってインプラント・オールオン4のオペを担当します。また患部を立体的に診察できる3次元撮影ができるCTや歯科用顕微鏡を導入しており、精度が高くより安全で確実な治療を行える環境です。

追加料金なしでジルコニアセラミックの被せ物に。(100万円程度分)
筒井歯科では良質な治療のために、かぶせ物は当院併設の歯科技工所で作製し、強度も美しさも兼ね備えたジルコニアのオールセラミックを標準で採用しています(一般的には100万円程度加算されますが、当院は頂きません)。

最も上質な素材で治療
筒井歯科では、品質の高い世界2大インプラントメーカーのストローマン社製もしくはノーベル社製のインプラントを標準で使用しています(別料金を頂きません)。
ストローマンのインプラントシステム
オールオン4(オールオンフォー)の費用・料金・値段
検査費
CT
正確で安全に治療を行うために必ず必要です。¥19,250(税込)
インプラントの費用・値段
オールオン4(上下片顎)
4本のインプラント手術代と、セラミックの被せ物すべての費用。 ¥2,728,000(税込)
オールオン6(上下片顎)
6本のインプラント手術代と、セラミックの被せ物すべての費用。 ¥3,253,800(税込)
ご希望の方に必要な費用
静脈内鎮静法
眠ったような状態で治療を受けられます。¥73,700(税込)
骨を造る費用
GBR(骨造成)法
骨が足りず、必要な場合に行います。※骨を増やす量で費用が変わります。¥64,900~¥129,800(税込)(1歯あたり)
サイナスリフト法
骨が足りず、必要な場合に行います。¥129,800(税込)(1歯あたり)
かぶせ物の種類によって費用が変わる-値段の相場-
インプラントのかぶせ物の素材によって、インプラントの耐久性や治療費用が変わってきます。
オールオン4の一般的な素材と、費用の相場は次の通りです。
アクリルレジン(プラスチック)
プラスチックでできており、使っていると、だんだんと削れたり、歯ぎしりやくいしばりなどで、かみ合わせが低くなったり、変色したりします。結果として数年〜5年程度で作りかえる必要がありその度に30万円〜50万円程度かかります。
また、プラスチックは唾液を吸着するので、口臭の原因になります(入れ歯よりは軽減されます)。
一般的な費用:210万円〜250万円程度
ハイブリッドセラミック
セラミックの粒子とプラスチックを組み合わせて作られています。プラスチックのみのものよりも丈夫ですが、同様にすり減っていくため、5年程度で作り変える必要があります。その度に50万円〜70万円程度かかります。
また、プラスチックは唾液を吸着するので、口臭の原因になります(入れ歯よりは軽減されます)。リスクとしてセラミックを含むので、強い衝撃により割れる可能性があります。
一般的な費用:250万円〜300万円程度
オールセラミック
セラミックの中で最も硬いジルコニア、見た目の調整がしやすく、色も質感も天然歯と違和感が少なく、美しく仕上げることができます。壊れにくくすり減りずらいので、長年使用していただけます。当院では、専属の熟練した歯科技工士が作製します。
また、セラミックは唾液を吸着せず、歯垢も付きづらいので、口臭を防ぎ清潔に保ちやすいです。リスクとしてジルコニア以外の部分のセラミックは強い衝撃により割れたり、欠けたりする可能性があります。また、ジルコニアもごく稀にですが欠ける可能性があります。
一般的な費用:320万円〜450万円程度

5年間保証
ジルコニア(人工ダイヤモンド)を用いたオールセラミックのオールオン4としては格安でご提供できます。
※セラミックを使用したインプラントに特化した歯科技工所を併設しているため。
※インプラントの埋入費用とかぶせ物を含む
(かぶせ物はジルコニアとセラミックのオーダーメード)
※相談料・説明料、投薬の薬代、型取りなどの諸処置を含む
CT撮影料、骨や歯肉の再生費用(必要な場合)、静脈内麻酔(必要な場合)
| 治療名 | オールオン4(オールセラミック) |
|---|---|
| 治療費用 | ¥2,728,000(税込み) |
| リスク | インプラントは歯周病に似たインプラント周囲炎になることがあり、重度になるとインプラントが抜けることがありますので、ケアが必要です。手術後3日をピークに腫れ・痛みがでることがあります。 |
オールオン4(オールオンフォー)症例
50代 男性 大阪府
上下オールオン4の症例
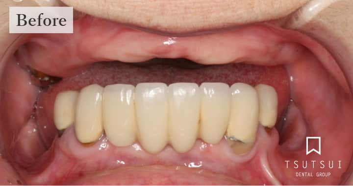
歯がボロボロで悩まれご来院されました。



| 治療費用 | CT ¥19,250 上顎 オールオン4 ¥2,728,000 GBR ¥95,700 ×2 サイナスリフト ¥129,800 ×2 下顎 オールオン4 ¥2,728,000 GBR ¥64,900 ×2 静脈内鎮静法 ¥73,700 ※すべて税込み |
|---|---|
| リスク | インプラントは歯周病に似たインプラント周囲炎になることがあり、重度になるとインプラントが抜けることがありますので、ケアが必要です。 手術後3日をピークに腫れ・痛みがでることがあります。 |
60代 男性 大阪府
オールオン6の症例
歯全体がボロボロで、噛めず、匂いにも悩まれ、ご来院されました。残せる歯がないため、オールオン4にて治療をおこないました。



| 治療費用 | CT ¥19,250 上顎 オールオン6 ¥3,253,800 下顎 オールオン6 ¥3,253,800 静脈内鎮静法 2回 ¥73,700 ×2 ※すべて税込み |
|---|---|
| リスク | インプラントは歯周病に似たインプラント周囲炎になることがあり、重度になるとインプラントが抜けることがありますので、ケアが必要です。 手術後3日をピークに腫れ・痛みがでることがあります。 |
70代 男性 大阪府
上下総入れ歯→オールオン6の症例
上下総入れ歯で噛みづらさと痛みがあり、困られてご来院されました。※通常はAll-on-4でインプラントを4本埋入ですが、このケースではインプラント6本埋入で行いました。



| 治療費用 | CT ¥19,250 上顎 オールオン6 ¥3,253,800 下顎 オールオン6 ¥3,253,800 静脈内鎮静法 2回 ¥73,700 ×2 ※すべて税込み |
|---|---|
| リスク | インプラントは歯周病に似たインプラント周囲炎になることがあり、重度になるとインプラントが抜けることがありますので、ケアが必要です。 手術後3日をピークに腫れ・痛みがでることがあります。 |
60代 女性 大阪府
上下オールオン6の症例
上は総入れ歯で下の歯もぐらぐらでほとんど噛めず、来院されました。下の歯も残すことが難しくオールオン6で治療をおこないました。



| 治療費用 | CT ¥19,250 上顎 オールオン6 ¥3,253,800 下顎 オールオン6 ¥3,253,800 静脈内鎮静法 2回 ¥73,700 ×2 ※すべて税込み |
|---|---|
| リスク | インプラントは歯周病に似たインプラント周囲炎になることがあり、重度になるとインプラントが抜けることがありますので、ケアが必要です。 手術後3日をピークに腫れ・痛みがでることがあります。 |
オールオン4(All-on-4)の治療期間と流れ
手術の流れ
事前に検査と準備
レントゲン写真を撮り、全体的な治療計画を立てます。
お口の中の型を取り、噛み合せを確認後、手術後に装着する仮の歯をあらかじめ作製します。

当日 STEP1
患部に歯が残留している場合は抜歯します。インプラントを埋め込みます。麻酔をしてから行うため、痛みは全く感じません。

当日 STEP2
インプラントを埋め込んだ後は、休憩用の個室でしばらく休憩します。
※状態によっては数時間休憩していただく場合があります。

当日 STEP3
休憩後、埋め込んだインプラントの上に、あらかじめ作製しておいた仮の歯を装着します。
※状態によっては、仮の歯の装着が手術翌日以降になる場合もあります。当日入らない場合も、別の手段によって歯がない状態がないようにします。
最終のかぶせ物を使いやすくするため、仮の歯を使っている間に、噛みごこち・形・色などを調整していき、最終のかぶせ物に反映します。

最終の被せ物(ブリッジ)を取り付けます。
インプラントが骨とくっつくのをまち、仮の歯を、強度が高く、美しい仕上がりの最終ブリッジと交換します。インプラントが骨にくっつくためには、上顎で2ヶ月〜3ヶ月、下顎で5ヶ月〜6ヶ月まちます。その後、最終のセラミックの被せ物(ブリッジ)を取り付けた後は、ご自分の歯のように何でも噛めるようになります。
※骨を増やす治療を行なった場合は、治療期間が長くなります。正確な治療期間は、診断後のお見積りの段階でお伝えできます。

オールオン4(オールオンフォー)の寿命
オールオン4の寿命についての研究論文(Systematic reviewという信頼性の高いもの)では、治療後2年後に残っている割合は99.8%という報告があります。
(e.g. David Soto-Penaloza, J Clin Exp Dent. 2017 Mar 1;9(3):e474-e488.)
またインプラントの寿命の研究でも、10年〜15年の累積生存率で、上顎でおよそ90%、下顎でおよそ94%のインプラントは残っていると報告されています。
(参考: 歯科インプラント治療の問題点と課題等作業班 厚生労働省委託事業「歯科保健医療情報収集等事業」 歯科インプラント治療のための Q&A)
ただ、インプラントは虫歯や歯周病にはなりませんが、歯周病に似たインプラント周囲炎にはなります。インプラントを使い続けるためには、天然の歯と同様に、毎日のケアと定期的な歯科医院でのクリーニングと噛み合わせのチェックなどのメンテナンスが必要です。
オールオン4(オールオンフォー)についてよくある質問
-
Q.オールオン4の手術は大掛かりそうなので、痛みが心配です。できるだけ痛みや腫れを
少なくする方法はありますか?A.一般的に手術中はしっかりと麻酔をしますので、手術中の痛みはありません。また当院では静脈内鎮静法という点滴麻酔も行っており、眠っているような状態でオールオン4の手術を終えることができます。
※静脈内鎮静法は大阪歯科大学の歯科麻酔科の先生に担当してもらっています。ご安心ください。 -
Q.骨が少ないから他院で断られました。オールオン4は可能でしょうか?
A.オールオン4は、骨が残っている場所にインプラントを入れることができるので、骨が少なくなっている場合でも対応できる可能性が高いです。
また、当院は骨を増やす治療に対応しておりますので、通常インプラントが無理だと言われる骨がやせてしまっている場合でも、治療できるケースがほとんどです。一度ご相談ください。 -
Q.オールオン4の治療に年齢制限はありますか?高齢でもできますか?
A.特に年齢制限はありません。
オールオン4は通常のインプラントと比較して体の負担を少なくできますが、ご高齢の場合の場合、持病があったり手術の負担を考えご希望されるときに不安に思われる方も多くいらっしゃいます。
当医院では最高齢84歳の男性がインプラント治療を受けられ、また80代の患者も多くおられます。
(※未成年の方にインプラント治療を行う場合は、顎の発達を阻害してしまう可能性があるため16歳以上が目安であると言われています) -
Q.オールオン4の手術の時間はどれぐらいですか?
A.オールオン4の手術時間は、平均1時間から3時間程度です。
その他、お口のクリーニングや麻酔の時間などの時間も必要ですので、3時間〜4.5時間でご予約いただいております。 -
Q.オールオン4の手術は入院が必要ですか?
A.オールオン4は、日帰りの手術です。その日のうちにお帰りいただけます。
-
Q.オールオン4はどれぐらいもちますか?
A.オールオン4の医学文献によると、インプラント1年後は、インプラントの1年後の残存率は上顎で97.6%、下顎で98.2%という報告があります。
しかし、手術後のメンテナンスの状況でインプラントの状態は大きく変わってきます。
インプラントを失う理由の多くは歯周病(インプラント周囲炎)です。当医院ではメンテナンスも任せていただけますので、手術後も一緒にしっかりお手入れしていきましょう。 -
Q.歯が何本か残っています。オールオン4はできますか?
A.残せそうな歯が多く残っている場合は、オールオン4の治療法ではなく、他の治療を提案させていただく場合があります。(残せる歯を抜いてオールオン4を行うことは可能ですが、ご本人の希望によります。)
歯が少し残っている方や義歯を入れておられる場合は、手術当日に抜歯を行い、インプラントを埋め込み、新しい歯(仮の歯)をいれます。 義歯は手術当日までご使用いただけます。 -
Q.オールオン4の治療は高額だと聞きましたが分割での支払いはできますか?
A.オールオン4に限らず、当医院では、最大120回払いに対応している、低金利のデンタルローン(歯科治療専門のローン)をご用意しております。お気軽にお問い合わせください。
※オールオン4の治療をはじめインプラントの治療は、審美を目的としない治療の場合、医療費控除の対象になります。 -
Q.芸能人のような白い歯にできますか?
A.はい、できます。オールオン4は歯と歯茎を一気に作り変えますので、自然な美しさの歯でも、芸能人のような真っ白な歯でもご希望にあわせて自由にデザインがしやすい治療です。

大阪・関西で総入れ歯で悩んでいる方・ほとんどの歯が悪くなっている方は一度ご相談下さい。
ほとんどの方は本気で悩んで不安を抱えて来院されますが、治療後には勇気を出してよかったと言って下さいます。
もちろん、治療前の段階でご納得いただけるまで説明しますし、オールオン4以外の治療法も含めて、患者様のご希望を実現する方法を提案いたします。
治療を受けるかどうかは、相談後に決めていただいて全く問題ありませんので、まずは一度ご相談下さい。









